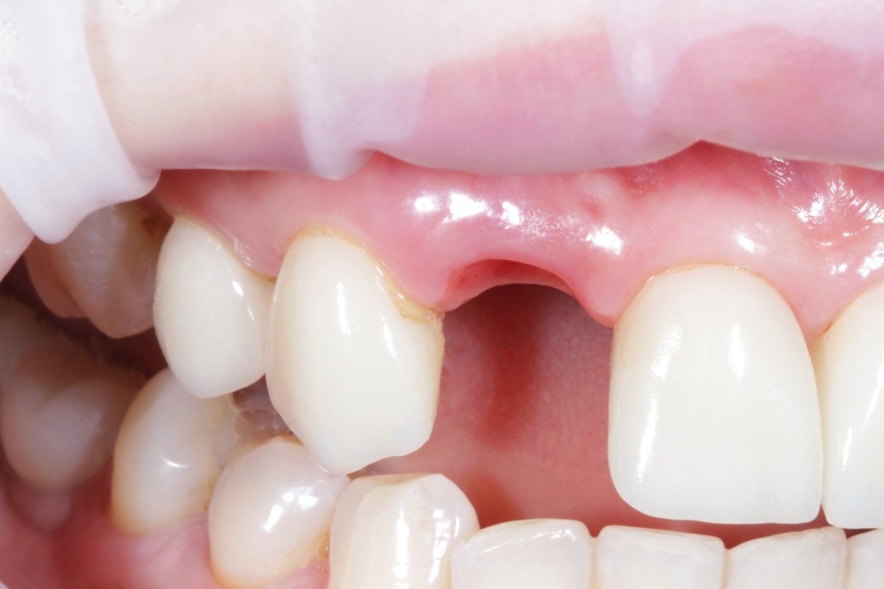
Sofortimplantation mit Sofortversorgung

  • Schonende Entfernung des Zahns

  • Einsetzen des Implantats und der Krone am selben Tag

  • unterschiedliche Anästhesiemöglichkeiten

Unmittelbar nach der Zahnentfernung können wir in den meisten Fällen das Zahnimplantat einsetzen.

Mit unserem hochmodernen digitalen Labor können wir unmittelbar nach dem Einsetzen des Zahnimplantats bereits den Scan durchführen, die Krone im Computer mit CAD/CAM generieren und mit der 3D-Fräse herstellen und im Ofen härten.

Im Gegensatz zu vielen anderen Zahnärzten perfektioniert unser praxisinterner Technikermeister am Ende deine Implantat-Krone.

Die Entfernung des Zahns, das Einsetzen deines Implantats und das Einsetzen deiner Krone sind mit unserem Expertenteam bei Medical.Art innerhalb eines Tages möglich.